Observation and Measurement of Power Semiconductors (Power Devices) Using Digital Microscopes
Unlike typical semiconductors that handle data, such as CPUs and memory, power semiconductors control electric power and are called power devices. This section introduces examples of how to observe and measure power semiconductors (power devices) using digital microscopes.

- What is a Power Semiconductor?
- Functions of Power Semiconductors
- Power Semiconductor Types and Characteristics
- Power Semiconductor (Power Device) Observation and Measurement Examples Using Digital Microscopes
What is a Power Semiconductor?
Although not defined clearly, semiconductors that control a large amount of voltage and current and have a rated current of 1 A or more are generally called power semiconductors.
Functions of Power Semiconductors
- Inverter:
- Converts direct current (DC) into alternating current (AC).

- A: Inverter
- a: Direct current
- b: Alternating current
- Converter:
- Converts AC into DC.

- A: Converter
- a: Alternating current
- b: Direct current
- Frequency conversion:
- Converts the AC frequency.

- A: Frequency conversion
- a: Alternating current
- Regulator:
- Converts the DC voltage.

- A: Regulator
- a: Direct current
Power Semiconductor Types and Characteristics
Power diode
Function: Rectification
Power diodes conduct current in one direction with no switching.
Power transistor
Function: Switching and amplification
- Thyristor
- Thyristors were the first power transistors to become available and are characterised by a high withstand voltage.
- Power metal-oxide-semiconductor field-effect transistor (MOS FET)
- Power MOS FETs are characterised by high speed and high frequency. These power transistors are commonly used for products with a low withstand voltage range up to approximately 200 V. Typical products are IT devices including laptops.
- Insulated-gate bipolar transistor (IGBT)
- IGBTs are characterised by high withstand voltage, high speed, and high frequency. These power transistors are commonly used for products with a medium to high withstand voltage range of 200 V or higher. Typical products include electric vehicles, hybrid vehicles, and railroad cars.
Power Semiconductor (Power Device) Observation and Measurement Examples Using Digital Microscopes
These are the latest examples of observation and measurement of power semiconductors using KEYENCE’s VHX Series 4K Digital Microscope.


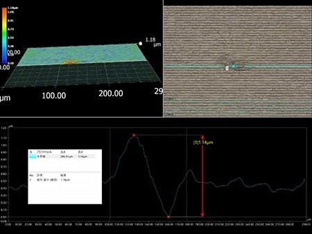
Observation of a defective part on a power semiconductor
Surface irregularities are visualised in Optical Shadow Effect mode, which allows for quick determination of whether defective areas were caused by adhesion or dents.


Observation of a material for power semiconductor wafers
Using the ring-reflection removal function eliminates glare from the surfaces.


Observation of fillers in a power semiconductor mould resin
Using the HDR function improves contrast, allowing for accurate profile measurement of fillers.




